Many factors - including long term pain resolution, functional outcome expectations, client education and financial considerations - enter into the decision to have a total hip replacement performed on your pet and you may have many questions about the procedure. The answers to the most commonly asked questions about canine total hip replacement can be found below. We hope you find this information helpful.
Total hip replacement - or total hip arthroplasty - involves removal of the painful or damaged “ball and socket” hip joint and replacement with an artificial hip or prosthesis.
The new femoral stem is titanium and the head or “ball” portion of the joint is made from a cobalt-chromium metal alloy. The new acetabulum (hip socket) is a highly crosslinked and Vitamin E stabilized, ultra-high molecular weight polyethylene.
The joint prosthesis eliminates the cause of pain and stiffness and dogs can return to most of the activities they enjoy. When compared to femoral head and neck ostectomy (FHO), total hip replacement provides the best return to normal function in the limb.
The most frequent reasons for performing a total hip replacement is to improve mobility and relieve pain caused by severe degenerative joint disease secondary to hip dysplasia, avascular necrosis of the femoral head/neck, chronic hip dislocations and/or fractures.
Many dogs with arthritic hip joints may simply be coping with their disability and pain. When a painful joint is replaced with an artificial joint, there is often a dramatic positive change in the dog's activity level, personality and even appetite!
Yes. If your dog has open healing wounds, active infections of the skin, ears, or teeth, poor nutritional status or laboratory evidence of major metabolic disease, total hip replacement should not be performed. Other common problems such as stifle joint injury (e.g., cranial cruciate ligament rupture) and spinal disorders can be confused for hip joint problems. In these situations, total hip replacement alone will not improve the condition.
Many dogs with hip arthritis can be comfortable and active with medical management including weight control-weight loss and regular, controlled, lower impact activity. Nutritional supplements such as glucosamine and omega-3 fatty acids may reduce joint inflammation. Analgesic medications to treat pain of osteoarthritis, e.g., Rimadyl™, Previcox™, Metacam™, Galliprant™, etc., are used depending on need.
"I was told an FHO is like a hip replacement." Not true - an FHO is nothing like a total hip replacement.
If hip pain persists, surgical options include femoral head and neck ostectomy (FHO) or total hip replacement. An FHO removes the ball portion of the hip so that there is no longer arthritic bone rubbing on bone in the diseased joint. While this can relieve pain, the loss of the ball-and-socket structure of the hip usually means that the limb will not function normally. Small, light-weight dogs do better with an FHO. The advantages of FHO include less surgical risk, few complications, finality, and lower costs of care. See discussion below.
Complete evaluation by the orthopedic specialists at Arizona Canine Orthopedics will determine if total hip replacement may help your dog. The evaluation includes a thorough medical history, physical and orthopedic exam, current x-rays of the hips and laboratory testing:
For companion animals, the most affected hip is usually operated first and results in good function in about 80 percent of dogs. Approximately 20 percent continue to have pain and/or reduced mobility due to the opposite hip and bilateral total hip replacement may be considered. When performed, bilateral hip replacement is typically staged - separating surgeries by 3 - 6 months - to reduce risk of complications.
Total hip replacement with the Biomedtrix Universal Hip system can accommodate dogs of just about any size. For toy and some giant breed dogs, as well as certain breeds, eg. German Shepherd, a cemented femoral component may be needed. The BFX system can usually be used in dogs from 20–80 kg (45-175 lbs).
In the past, total hip replacement was only considered for older dogs. This was due to concerns over long term loosening of cemented protheses. With the cementless BFX implants that we now use, loosening is unlikely as these implants integrate as become part of your dog’s body through bone ingrowth/ongrowth . The high quality, polyethylene plastic “cup” will help it last for the life of the dog. Implants can be placed in most dogs as young as 9 – 10 months old based on skeletal maturity and with the expectation that they will provide a lifetime of pain-free function.

These happy faces are some of the many dogs that have had successful total hip replacement at Arizona Canine Orthopedics. The images on the right are the corresponding implants for each of the dogs!
Under general anesthesia, the surgeon approaches the diseased hip joint and replaces the damaged parts of the joint with the total hip replacement prosthesis. The diseased femoral head in the hip joint is replaced by a metal ball on a stem that fits inside the femur. A titanium-backed, plastic cup is implanted into the pelvis to replace the damaged hip socket. The new prosthetic components are designed to allow the joint to move the same way as the normal hip.
The most commonly used prostheses at Arizona Canine Orthopedics are called “uncemented” and has many of the same design features found in hip replacements used in people. “Cemented” implants are held in place with an acrylic but there may be break down of the interface between the cement and bone over time. Porous-coated, uncemented implants become stable by ingrowth of bone into their beaded surface in the first few weeks to months after implantation. This bond is more likely to last the life of the dog.

These are nice examples of Biomedtrix BFX cementless femoral stems. From left, the original tapered stem design to the newer, augmented collared (middle image) and lateral bolt (right) femoral stems.
The postoperative care of your dog is key to our success. Most dogs are able to stand and walk on the new artificial hip within the first few days after surgery. While hospitalized, exercise is restricted to cage confinement with 10 minute leash walks daily. Most animals undergoing total hip replacement are hospitalized for a total of 2 to 4 days. Follow-up x-rays and orthopedic examinations are performed at 30 days, 90 days, and one year after surgery and every 12-18 months thereafter.
Upon discharge, and in addition to routine surgical wound care and healing, the activity level of your dog must be controlled. Home care often requires some supervision and activity must be limited to slow and brief, leash-controlled walks for 4 weeks. One month after surgery, leash walking may be gradually increased to up to 20 minutes over the next 4 week period. During weeks 9–12, leash walks of 20 minutes duration 2–3 times per day are recommended. At the end of 12 weeks, more normal activity is allowed. Vigorous play or hard work is allowed after gaining strength and conditioning.
The main benefit of total hip replacement is relief of pain and the return of more normal hip function. Some soreness in the leg and hip is to be expected for a few weeks because of the surgery and because muscles around the joint are weak from inactivity. Muscle strength and motion of the joint will improve with increased activity over the next several months. End results are often quite dramatic. In fact, many owners report that their dog can do things they have not done since they were a puppy. In most dogs, an uncemented total hip prothesis will last for the dog's life. It will provide years of pain-free activity that would not otherwise have been possible.
The complication rate following total hip replacement is typically less than 5 percent with most significant complications occurring within the first 4 weeks of surgery. And while infrequent, complications of total hip replacement may often be serious and require revision surgery.
Risk associated with patient malpositioning or movement of the pelvis during surgery, bone preparation techniques, implant sizing and implant postion-orientation have been greatly reduced by the addition of intra-operative x-ray imaging as seen below. The most common and significant problems include:

The best way to avoid complications is to closely follow the recommendations for exercise restriction, clinical and radiographic follow-up and return to normal activity.
The all-inclusive, flat-fee cost of comprehensive total hip replacement surgery and aftercare in 2025 is $13,500. And there are no fees associated with follow up care, recheck examinations, and radiographs for the first one year postoperative.
Femoral head ostectomy (FHO) is, unfortunately, sometimes referred to as “like a hip replacement”. By any scale of measurement, FHO is not a hip replacement!
And while FHO has a place in veterinary medicine based on the relative simplicity of the procedure and economy of care, FHO results in the formation of a pseudarthrosis - or false joint. Following FHO, the pain in the area is often greatly reduced but the limb will typically only regain 75 to 80 percent of normal function. In larger, active dogs, this dysfunction is apparent as lameness.
Following a successful total replacement of the ball and socket of the hip joint, limb function can return to 100 percent normal.
This dog has chronic, severe, bilateral, hip osteoarthritis as a result of hip dysplasia. Notice the extensive degenerative remodeling of both the ball and socket portions of the joint with loss of thigh muscle mass. These types of changes may successfully be treated by total hip replacement.
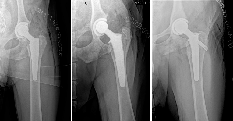
This is an example of a German Shepherd dog with bilateral, hybrid, total hip replacement (Biomedtrix BFX cementless acetabular cup and CFX cemented femoral stem). Hybrid constructs may be used in certain breeds like the German Shepherd and giant breed dogs, geriatric dogs or those with poor bone quality/thin femoral cortices.
Make no mistake, all surgical procedures are serious. Get the information you need and know your options. Then make an informed decision. Like any service, not all veterinary services are equal. Call to schedule or ask questions.
We pride ourselves on doing things differently. We insist on providing premier service to our patients and their caregivers. There's a saying, "Price is what you pay; value is what you get." At ACOSM, delivering on value is our mission.
We're proud of our experience, skill, and outcomes; it puts us in a category of one, which means you'll experience things with us not promised by any other veterinarian in AZ.
Distal Femoral Osteotomy for Comprehensive Treatment of Medial Patella Luxation
Three-Dimensional Printed Patient Specific Guides for Acute Correction of Deformities
Comparison of Arthroscopy and Arthrotomy for Diagnosis of Medial Meniscal Pathology
Second Look Arthroscopic Findings After Tibial Plateau Leveling Osteotomy
Arizona Canine Orthopedics & Sports Medicine
7410 E. Pinnacle Peak Road, Suite 110 Scottsdale, Arizona 85255
480.998.5999Just have a question?
Give us a call.
Watch real procedures.YouTube Check out our Instagram.Instagram
Copyright © 2026 Arizona Canine Orthopedic Sports Medicine (ACOSM). All rights reserved. Sitemap Privacy Terms
